煙酰胺核苷或成為新美白成分?
隨著消費者對健康和美容產品的需求日益增長,化妝品行業不斷尋求安全有效的成分以滿足市場。黑色素過度生成導致的色素沉著問題,如黃褐斑、老年斑等,一直是化妝品研究的重點。近期,有韓國研究團隊探討了煙酰胺核苷(NR)在抑制光刺激后的黑色素過度色素沉著方面的應用潛力,或許NR可作為一種新興的美白成分。
1.什么是NR?
煙酰胺核糖苷(Nicotinamide Riboside, NR)是煙酰胺腺嘌呤二核苷酸(NAD+)的前體之一,NAD+是生物體中非常重要和必需的成分。
2.NR最新研究結論
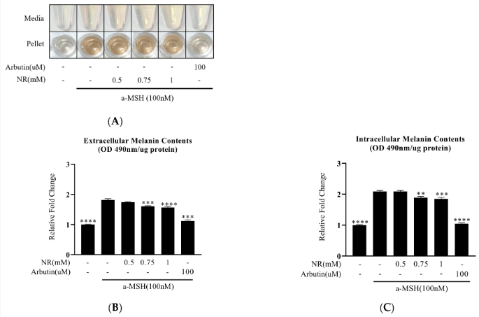
①NAD+前體NR可以抑制黑色素生成,尤其是在B16F10細胞(一種黑色素細胞系)中,在α-黑色素細胞刺激激素(α-MSH)作用下暴露于特定劑量的NR時。

②NR抑制了酪氨酸酶的活性,這是黑色素產生的關鍵步驟,但并未改變黑色素生成基因的表達水平。
③紫外線B(UVB)輻射直接刺激HaCaT細胞(一種角質形成細胞系),誘導金屬蛋白酶的RNA表達。NR治療能夠抑制這些基因的表達并降低細胞毒性。
研究表明NR作為新的美白成分的可能性,因為它對過度色素沉著有抑制作用,并且能夠保護皮膚細胞免受UVB輻射的損傷,降低金屬蛋白酶的表達,從而維持皮膚的健康和完整性。
NR展現出來的功能效果,或使其成為美白和抗衰老產品的新選擇。未來研究人員或將進一步探索NR在不同化妝品配方中的效果和最佳應用濃度,以開發出更高效、更安全的化妝品。
文中研究結論與圖片均來自于以下參考文獻:
[1] Lee Y J, Jang S G, Ryu M J, et al. Nicotinamide Riboside Ameliorates Hyperpigmentation on Photo-Irradiated Skin[J]. Cosmetics, 2024, 11(3): 73.
*特別說明 - 本文僅作資訊科普用途,不能代替醫生的治療診斷和建議,不應被視為對所涉醫療產品的推薦或功效證明。涉及疾病診斷、治療、康復相關的,請務必前往專業醫療機構就診,尋求專業意見。